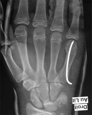
Elles
sont les plus fréquentes des fractures des métacarpiens
et surviennent essentiellement suite à un coup de poing : fractures
dites "du boxeur".

Ces
fractures sont souvent déplacées, avec une bascule du fragment
cassé vers l'avant (la paume de la main).
En
dessous de 30° de déplacement, ces fractures sont seulement
immobilisées sans les remettre en place, et le résultat
sur la fonction de la main est excellent.
Au dessus de 30° de déplacement, une réduction
orthopédique sous anesthésie générale
est souhaitable, suivie d'une immobilisation plâtrée.
Le traitement chirurgical ne donne pas de meilleurs résultats
et provoque un surcoût de plus de 1000 euros [Évaluation
du coût des fractures du col du cinquième métacarpien
: traitement orthopédique et chirurgical ; Boxer's fracture:
cost evaluation orthopaedic or surgical treatment ; A. Daninoa,
O. Trosta, N. Robea and G. Malkaa ; Service de chirurgie plastique,
main et maxillofaciale, 3, rue Faubourg-Raines, 21000 Dijon, France
; Chirurgie de la Main Volume 25, Issues 3-4, September 2006,
Pages 152-155].
Chez certains adolescents, ces fractures sont instables et il
faut alors réaliser une embrochage centro-médullaire.
Les fractures avec trouble de rotations seront également
embrochées.
|