| <--page précédente page suivante--> | |
LES FRACTURES DE L'AVANT-BRAS |
|
Elles
sont très fréquentes et représentent 40% des traumatismes
du membre supérieur. |
|
| Les fractures de la diaphyse : | |
![]() |
|
![]() ![]() ![]() |
|
Les fractures non déplacées sont traitées par immobilisation plâtrée pour une durée longue de 2 à 3 mois : d'abord un plâtre prenant le coude, l'avant-bras et la main (plâtre brachio-anté-brachio-palmaire) pour une durée de 6 semaines environ, puis dans un plâtre ne prenant que l'avant-bras, le poignet et la main (manchette) pour une durée de 6 semaines. Ces fractures exposent pendant longtemps au risque de récidives si les activités sportives ou les activités de jeux à risque de chutes sont reprises trop tôt !
|
|
![]() ![]() ![]() |
|
![]() ![]() |
|
![]() ![]() ![]() |
|
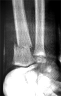
Les fractures de la métaphyse (partie basse de l'os) : |
|
Ce
sont les fractures les plus fréquentes de l'enfant : 20 à
36% selon les études. Elle touchent préferentiellement le côté non dominant : un droitier se fracturera plus le côté gauche. Le plus souvent elles font suite à une chute sur la main. Il
en existe plusieurs variétés en fonction de la forme de
la fracture, de la zone osseuse touchée : |
|
![]() |
|
![]() |
|
![]() |
|
![]() |
|
Ces fractures sont assez souvent faciles à diagnostiquer, en
raison du déplacement "en dos de fourchette".
|
|
![]() ![]() |
|
Les
fractures non déplacées sont immobilisées dans un
plâtre brachio-anté-brachio-palmaire pour une durée
de 4 semaines, puis dans un plâtre ne prenant que l'avant-bras,
le poignet et la main (manchette) pour une durée de 2 semaines. Les fractures déplacées peuvent être réduites
sous anesthésie générale et stabilisées par
plâtre dans leur grande majorité. |
|
![]() ![]() ![]() ![]() |
Traitement par réduction sous anesthésie générale et immobilisation plâtrée. |
| <--page précédente page suivante--> | |





















