LA MALADIE D'OSGOOD-SCHLATTER-LANNELONGUE
La maladie d'Osgood-Schlatter-Lannelongue
est l'apophysose
de croissance la plus fréquente.
Elle touche les enfants de 9 à 15 ans (9 à 13 ans pour
les filles, 11 à 15 ans pour les garçons).
Il existe un sexe ratio net (3 garçons pour 1 fille).
La maladie est bilatérale dans 20 à 30% des cas.
Les sports les plus concernés sont : le football, le basket-ball.
Elle appartient au groupe des ostéochondrodystrophies extra-articulaires ou apophysoses, dans la classification de Siffert.
Elle fut décrite vers 1903, et doit être considérée non pas comme une maladie de la croissance mais comme une vraie maladie du sport de l'enfance !
Comment la maladie se développe-t-elle ? (physiopathologie)
Elle est due aux forces
de traction exercées par l’insertion basse du
tendon rotulien sur la tubérosité tibiale antérieure
(TTA).
Schéma anatomique des attaches tendineuses
sur la partie haute (proximale) du tibia.
Quels sont les signes d'appel de la maladie d'Osgood-Schlatter-Lannelongue ?
La maladie d'Osgood-Schlatter-Lannelongue se
manifeste par des douleurs mécaniques
du ou des genoux, survenant lors de l’activité sportive
(course, saut, shoot au football).
Les douleurs rendent la position à genoux pénible, voire
impossible.
La pression de la tubérosité tibiale et la contraction
isométrique du quadriceps provoquent la douleur.
Douleur provoquée à la palpation directe de la tubérosité
tibiale antérieure
La tubérosité tibiale augmente progressivement de volume avec ou sans signe inflammatoire (œdème, rougeur).

Augmentation
de volume de la tubérosité ibiale antérieure
(bosse devant la partie haute du tibia)
Comment faire le diagnostic de maladie d'Osgood-Schlatter-Lannelongue ?
L’examen clinique permet
d’apprécier :
L’intensité
de la douleur :
marche normale, boiterie d’évitement plus ou moins importante,
impotence fonctionnelle totale.
Le
morphotype des membres inférieurs
genu valgum (jambes en X) ou genu varum
(jambes arquées)
Le
poids
Les
angles poplités
qui reflètent la raideur des chaînes musculaires postérieures
(muscles ischio-jambiers, système suro-achilléo-calcanéo-plantaire).

Mesure
de l'angle poplité (méthode anglo-saxonne) : patient en
position allongée, muscles totalement DECONTRACTES, l'examinateur
lève doucement la jambe en direction du plafond au maximum des
possibilités. L'angle entre cette position maximale d'élévation
de la jambe et la verticale représente l'angle poplité.
Plus il est grand, plus le patient est raide.
Quels examens complémentaires demander devant une maladie d'Osgood-Schlatter-Lannelongue ?
Le seul examen utile est la radiographie.
Bilan radiologique
Les incidences radiologiques de base sont les suivantes
:
Radiographie
du genou douloureux de face et de profil
Ce bilan radiologique est le plus souvent normal.
La radiographie a donné
lieu à une classification qui n’est pas utile pour la prise
en charge thérapeutique, classification
d'Ehrenborg (1962).
Les images radiographiques peuvent être normales, mais après
6 à 8 mois d’évolution, on peut retrouver un aspect
ossiculaire (fragmenté) à la base du tendon rotulien dans
30% des cas.
Ces fragments fusionnent progressivement avec le noyau d’ossification
pour provoquer un aspect d’hypertrophie de la TTA, très
souvent seule séquelle esthétique de la maladie.
La radiographie s’impose au titre du diagnostic différentiel,
même si la symptomatologie et l’examen clinique sont fortement
évocateurs du diagnostic.
Les autres examens (scintigraphie osseuse, tomodensitométrie,
remnographie) n’ont aucune utilité pour le diagnostic positif
ni dans le bilan de la maladie.

Type 1 aspect radiographique osseux normal, simple oedème des parties molles.
Type 2 avec aspect irrégulier du noyau apophysaire et micro-fragments.
Type 3 avec une image d’ossification en avant du relief de la tubérosité tibiale antérieure.
Type 4 avec fragment ostéo-cartilagnieux intra-tendineux.
Quelles sont les complications de la maladie d'Osgood-Schlatter-Lannelongue ?
Les principales complications
possibles en cours d'évolution de la maladie sont :
La
migration de calcifications intra-tendineuses.
Dans 5 % des cas, une ossification intra-tendineuse s’autonomise
et persiste à maturation osseuse, responsable de gêne douloureuse.
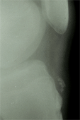
Calcifications dans le tendon rotulien, complications de la maladie
d'Osgood-Schlatter-Lannelongue après la fin de la croissance
Pseudarthrose de la TTA (tubérosité
tibiale antérieure)

Pseudarthrose de la TTA, complication de la maladie d'Osgood-Schlatter-Lannelongue
non soignée
L'hypertrophie de la tubérosité tibiale antérieure
:

Hypertrophie de la TTA, complication de la maladie d'Osgood-Schlatter-Lannelongue,
sans calcification intra-tendineuse
L'atrophie de la tubérosité tibiale antérieure
après infiltration de corticoïde (il s'agit d'une complication
de traitement inadapté) :

Atrophie de la TTA, complication iatrogène (liée au traitement)
de la maladie d'Osgood-Schlatter-Lannelongue
Trouble de croisance du tibia par épiphysiodèse (soudure
osseuse du cartilage de croissance) de la tubérosité tibiale
antérieure. cette complication est exceptionnelle.

Recurvatum tibial proximal sur maladie d'Osgood-Schlatter-Lannelongue.
La partie de devant du tibia (TTA) a stoppé sa croissance alors
que le reste du tibia a continué de grandir, provoquant une désaxation
progressive.
L'arrachement apophysaire aigü :
Complication rare sur un effort violent : la force de traction du tendon
rotulien (patellaire) arrache le massif osseux de la tubérosité
tibiale antérieure.

Fracture arrachement de la tubérosité tibiale antérieure
sur maladie d'Osgood-Schlatter-Lannelongue : l'ensemble de la TTA est
horizontalisé, tracté par le tendon rotulien (invisible
en radiographie).

Fracture arrachement de la tubérosité tibiale antérieure
sur maladie d'Osgood-Schlatter-Lannelongue (vue opératoire de
la radiographie précédente) : on voit le tendon rotulien
qui soulève la TTA, détachée de sa zone osseuse.
Comment traiter une maladie d'Osgood-Schlatter-Lannelongue ?
Avant la fermeture du cartilage de croissance
Le repos sportif
La maladie d'Osgood-Schlatter-Lannelongue doit être
considérée comme une maladie du sport, et non comme une
maladie de la croissance.
Trop souvent, il est conseillé d'attendre en imposant le seul
repos sportif, qui à lui seul ne règle pas le problème
de fond de la raideur tendino-musculaire.
Le repos sportif scolaire et extra-scolaire
est donc indispensable et non négociable.
Les antalgiques et anti-inflammatoires
Il faut diminuer cette douleur de façon médicamenteuse par traitement (oral) antalgique et anti-inflammatoire.
Les pommades en application locale n'ont aucune efficacité.
La kinésithérapie
Elle est fondamentale pour diminuer les forces de traction du tendon rotulien sur le cartilage de croissance de la tubérosité tibiale antérieure.
Elle doit associer différents aspects.
Les étirements myo-tendineux chez le kinésithérapeute
Ils représentent la part la plus importante du travail de kinésithérapie.
Il doivent être réalisés de façon régulière, au rythme de 2 séances par semaine, chez le kinésithérapeutre et par le kinésithérapeute (exercices passifs).
En effet, l'intérêt d'aller en cabinet de kinésithérapie est de pouvoir faire les exercices d'étirements à 2 personnes. Les étirements que l'on peut réaliser tout seul (individuels) peuvent être réalisés au domicile !
Ces étirements passifs nécessitent donc la présence et la participation du kinésithérapeute du début à la fin de chaque séance (qui doit durer au moins 30 minutes).
Les étirements myo-tendineux à domicile
Le travail d'étirement sera d'autant plus efficace
qu'un complément d'étirement par exercices actifs sera
réalisé TOUS les SOIRS à domicile, ce qui représente
un investissement important, en temps et en motivation.
Réaliser 10 minutes d'exercices chaque soir est un minimum.
Ces exercices individuels doivent être faits de façon efficace,
et le kinésithérapeute doit montrer comment les réaliser.
L'immobilisation
Dans certaines formes hyperalgiques, il est utile de réaliser une immobilisation plâtrée de 4 à 6 semaines.
La chirurgie
Certains types 4 très douloureux peuvent nécessiter une exérèse chirurgicale du fragment intra-tendineux avant la fusion de la TTA (15 ans chez la fille, 17 ans chez la garçon).
Après la fermeture du cartilage de croissance
La chirurgie
La chirurgie
concerne les formes séquellaires avec fragment ostéo-cartilagineux
intra-tendineux.
La chirurgie d’exérèse permet la guérison
et la reprise du sport en 2 à 3 mois.
Comment éviter la récidive de la maladie de la maladie d'Osgood(Schlatter-Lannelongue ?
Après guérison, il est possible d'éviter la récidive de la maladie.
Par l'entretien de la souplesse des membres inférieurs
Pendant la phase de croissance, il est naturel de perdre de la souplesse, surtout par le facteur d'accroissement de longueur des os.
La réalisation régulière d'exercices
d'étirement à domicile permet donc d'éviter de
perdre le travail réalisé en kinésithérapie.
A condition de réaliser régulièrement 2 séances
de stretching par semaine.
Par la modification des pratiques sportives
La réalisation d'exercices d'étirements doit encadrer TOUTE activité sportive.
Malheureusement, ceci est rarement enseigné dans le milieu sportif scolaire, et seuls quelques disciplines extra-scolaires appliquent cette procédure avec rigueur (gymnastique, sports de combat, danse classique, hip-hop).
Le sport se réalise idéalement de la façon suivante :
15 minutes d'échauffement SANS JAMAIS COURIR,
axé sur le travail articulaire proprioceptif
30 minutes d'étirements activo-dynamiques
la phase sportive proprement dite
15 minutes d'étirements (stretching postural) à la fin
de la phase sportive
Ceci est valable quel que soit l'âge et quel que soit le sport envisager, même pour la natation, le ski, l'équitation !
L’évolution de la maladie d'Osgood-Schlatter-Lannelongue se fera dans tous les cas vers la guérison, soit de façon thérapeutique, soit de façon naturelle par fermeture du cartilage de croissance antérieur de la TTA.
Mais attention, sans prise en compte du facteur hypertonie tendino-musculaire, il est possible de voir disparaître la maladie d'Osgood-Schlatter-Lannelongue de l'enfance au profit d'une tendinite du tendon rotulien de l'adulte, véritable pathologie miroir après maturation osseuse.